CLOSE

あなたの笑顔がステキな毎日をつくりだす

ネット/LINE予約
診療時間 月・火・金 12:15 - 20:00
水・土 10:00 - 18:00
日(月1) 10:00 - 14:00
休診日 木・祝
ネット
LINE予約

受け口(反対咬合・下顎前突)

PROGENIA

受け口はどのような歯並びですか?

WHAT IS PROGENIA

受け口は反対咬合や下顎前突とも呼ばれており、上下の噛み合わせが反対になっている状態のことを言います。見た目としては、

  • 下の歯が前歯よりも前で噛み合っている
  • 下の顎が前に出ていると感じる

実際の症状としては、

  • 食べ物がうまく噛めない
  • 発音がしにくいまたは、聞き取りづらいと言われた

上記に該当する場合は、受け口の可能性が高いと言えます。

子供の受け口を治療について?

TREATMENT

上顎の成長は6歳頃までで止まってしまいますが、下顎は身長が止まった後、18歳頃まで成長が続く場合が多いです。
つまり6,7歳の頃に受け口であると自然とよくなることはほとんどなく悪化する場合の方が多いと考えられます。
受け口の治療としてはこの上顎の成長が止まるまでに一度マウスピース等の夜間の使用により上顎の成長を引き出すことを行います。
その後ですが、下顎の成長を抑制することは、身長を何センチで止めたいということができないように難しく、下顎が前に成長しづらい環境を整え、18歳頃まで様子をみます。
第二段階の矯正の装置を装着して治療を行います、この時にでこぼこ(叢生)など受け口以外の治療も一緒に行います。

WHAT YOU NEED

受け口を予防するために必要なこと

受け口の治療は通常の矯正治療より経過観察のための何もしてない期間が長く、開始してから終わるまでの長い期間を必要とします。

また、そのため治療の選択肢も多岐にわたり、悩まれる親御さんも多くいらっしゃいます。けれども成長期に上下の顎の正常な成長を促すために、子供の頃に治療を行うことが大きな効果を発揮することもあります。

当院では受け口のご相談を無料で承っています。
矯正治療で改善を考えている親御さんは是非ご利用下さい。

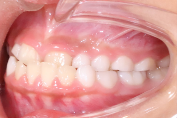
CASE

子供の受け口(反対咬合・下顎前頭)の矯正治療例

患者情報
9歳 男の子
主訴
上下反対の噛み合わせでしゃくれて見える
診断名
下顎前突
治療方法
プレート(拡大症)にて矯正治療を行った
治療期間
1年半
治療のリスク
・決められた範囲のみネジを回す必要がある
・装着時間を守らないと効果が得られない
費用
検査:44,000円(税込)
装置:385,000円(税込)
合計:429,000円(税込)

治療費一覧はこちら

※ クリックすると拡大することができます。

ガイドライン

歯並びのお悩みをご相談ください

当院では、1日3組の方限定で、
矯正治療の無料相談を行っています。
お気軽にご利用ください。

矯正歯科のお悩みをご相談ください。 矯正歯科のお悩みをご相談ください。
相談してみる

相談は無料です。