CLOSE

あなたの笑顔がステキな毎日をつくりだす

ネット/LINE予約
診療時間 月・火・金 12:15 - 20:00
水・土 10:00 - 18:00
日(月1) 10:00 - 14:00
休診日 木・祝
ネット
LINE予約

子供の叢生

CROOKED TEETH

子供の叢生について

ABOUT CROWDING OF CHILDREN

叢生は乱ぐい歯とも呼ばれており、歯がデコボコして生えている状態です。
乳歯のときはきれいな歯並びであったにも関わらず、永久歯になって歯がデコボコしてきたと感じられる親御さんが多くいらっしゃいます。
それは、乳歯よりも永久歯のほうが歯のサイズが大きいので、スペースが足りなくなることで叢生になることもケースと

子供が叢生に
なってしまう原因

CAUSE

顎の大きさと歯の大きさが合っていない場合、乳歯が早く抜けてしまった場合や生え変わりの順番がスムーズではない場合など様々な要因ででこぼことなります。
概ね歯が生えるスペースが足りないことが多いです。
3人がけの椅子に4人で座るとイメージしていただくと、窮屈であるとおわかりいただけると思います。

子供の叢生の
治療について

TREATMENT

子供の矯正治療の場合、最初から歯を抜いてきれいに並べるという選択をせずに、顎を広げることから始めることが多いいです。
明らかにでこぼこが大き場合は、生え変わりを待ってから抜歯を行い、ブラケットなどの装置を用いて矯正治療を行うことがあります。
顎の成長が止まってしまう10歳までに矯正治療を始めることが理想と言えますので、歯がデコボコしてきたと思ったら、迷わず相談下さい。

CASE

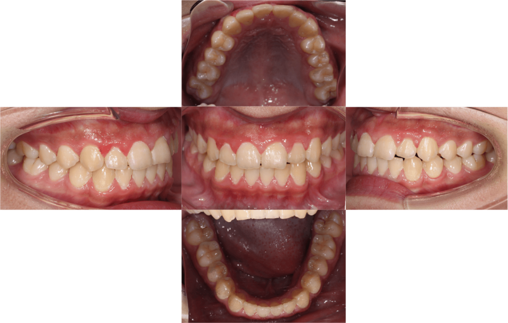
叢生の治療例(症例)

子供の叢生を矯正で改善した症例

患者情報
11歳 男性
主訴
歯並びがデコボコしているのが気になる
診断名
叢生
治療方法
夜間に拡大床を使用
治療期間
2年半
治療のリスク
装置を使わないと治療が進まず、叢生が改善しない
費用
検査:44,000円(税込)
装置:385,000円(税込)
再診料:5,500円×8回=44,000円(税込)

治療費一覧はこちら

※ クリックして拡大することができます。

叢生を予防するために必要なこと

WHAT YOU NEED

一番の理想は顎の成長が止まってしまうまえに矯正治療を始めることで、でこぼこの度合いを少なくし、抜歯のリスクを回避できる可能性が高くなります。
顎を広げた後、永久歯列を見て満足いただければ治療終了、更に歯並びをきれいにしたい場合はブラケットなどの装置を用いて治療を行い、ベストな歯列を目指します。

まずは、矯正相談をご利用いただき、しっかり検査した上で治療計画をお話できればと思っております。
矯正治療を検討する場合は、お気軽にご相談下さい。

ガイドライン

歯並びのお悩みをご相談ください

当院では、1日3組の方限定で、
矯正治療の無料相談を行っています。
お気軽にご利用ください。

矯正歯科のお悩みをご相談ください。 矯正歯科のお悩みをご相談ください。
相談してみる

相談は無料です。