CLOSE

あなたの笑顔がステキな毎日をつくりだす

ネット/LINE予約
診療時間 月・火・金 12:15 - 20:00
水・土 10:00 - 18:00
日(月1) 10:00 - 14:00
休診日 木・祝
ネット
LINE予約

顎変形症

JAW DEFORMITY

顎変形症とは?

WHAT IS JAW DEFORMITY

顎変形症は顎の骨に異常があると認められ、顔貌の変形や噛み合わせに不正がある状態を指します。

顔貌が左右非対称であったり、上下顎の大きさに異常が認められる、顎の位置に異常が認められることにより、機能障害(噛めない・喋りづらいなど)が発生します。

開咬・上顎前突(出っ歯)・過蓋咬合・受け口などでお困りの方が来院され、精密検査の結果により顎変形症と診断されるケースもあります。

顎変形症の
診断について

DIAGNOSIS

顎変形症の治療は、外科手術を伴う専門性の高い治療です。適応かどうかは、レントゲン検査および提携病院の口腔外科での診察を経て、はじめて判断できます。

矯正相談(初診)当日に診断・保険適用の可否をお答えすることはできません。ご来院前にあらかじめご了承ください。顎変形症と診断された場合にのみ保険適用となります。

※精密検査費用として4〜6万円(自己負担分)が別途発生します。
※手術は提携先の口腔外科で行い、矯正治療は当院が担当します。

顎変形症の治療は、外科手術を含む長期にわたる専門的な治療です。「保険で矯正ができる」という情報だけを見てご来院される場合、実際の治療内容・期間・費用のイメージと大きく異なることがあります。

精密検査の結果、顎変形症の適応でないと判断された場合でも、症状や状態に応じた矯正治療のご提案が可能です。なお、顎変形症・セカンドオピニオンのご相談は相談料3,300円(税込)が発生します。通常の矯正相談は無料ですので、ご来院の際はあらかじめご確認の上お越しください。

顎変形症の治療の流れ

FLOW
検査
通常の矯正治療と同じように、検査を行います。
診断
検査の結果、矯正治療で改善できない場合、顎変形症と診断されます。
治療計画の立案
治療のゴールを決定し、大学病院とのミーティングも行います。
術前矯正(1年~1年半)
手術後に正しく噛めるよう、矯正治療を行います。
手術(1週間程度入院)
提携先の病院で手術を行います。
手後矯正(半年程度)
噛み合わせの微調整を行います。
保定
後戻りをしないように保定装置を装着します。

提携先の病院
について

PARTNER
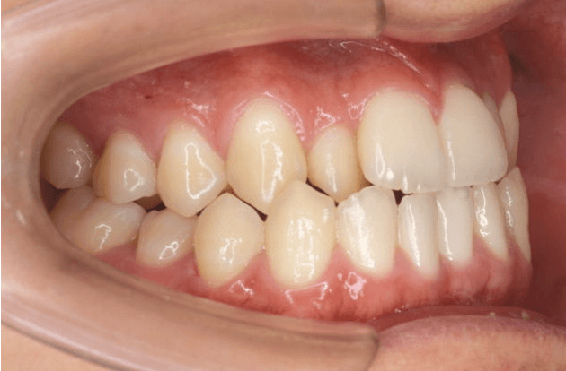
CASE

顎変形症の症例

※ クリックすると拡大することができます。

患者情報
10代 男性
主訴
かみづらい
診断名
顎変形症
治療方法
マルチブラケット装置での矯正治療 + 外科手術
治療期間
2年
治療のリスク
全身麻酔下での手術となります
費用
矯正治療費 20万程度
外科手術費用 40万程度
QUESTION

顎変形症Q&A

Q. 顎変形症は保険診療とお聞きしましたが本当ですか?

保険適用には条件があります。①発音・咀嚼などの機能障害があること、②骨格的な要因が認められること、③外科手術が必要と診断されること——これらをすべて満たす場合にのみ、保険診療の対象となります。
「保険で安く矯正ができる」という認識でご来院される方がいらっしゃいますが、保険適用はあくまで上記の条件を満たした場合のみです。適応でないと判断された場合は、自費矯正または通常の矯正治療をご提案します。

Q. 顎変形症の治療を行う適齢期はありますか?

上下の顎の成長が止まった後が望ましいので身長が止まった後1年様子をみます。
理由としては、顎の成長が止まらずに手術を行うと、手術後にも顎が成長してしまい、正しい治療結果が得られません。したがって、大切なのは【顎の成長が止まった後】ですので、概ね18歳以降となる場合が多いです。

MESSAGE

顎変形症と思ったらご相談下さい

顎変形症だと気づかずとも、咀嚼や発音に問題がある。もしくは顎の大きさやお顔が左右非対称であるとお悩みになっているかたが当院に多くご来院されます。
患者様のお悩みを解決するお手伝いとして、矯正相談を行っていますので、是非ご利用下さい。

ガイドライン

歯並びのお悩みをご相談ください

当院では、1日3組の方限定で、
矯正治療の無料相談を行っています。
お気軽にご利用ください。

矯正歯科のお悩みをご相談ください。 矯正歯科のお悩みをご相談ください。
相談してみる

相談は無料です。