CLOSE

あなたの笑顔がステキな毎日をつくりだす

ネット/LINE予約
診療時間 月・火・金 12:15 - 20:00
水・土 10:00 - 18:00
日(月1) 10:00 - 14:00
休診日 木・祝
ネット
LINE予約

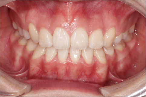
八重歯

DOUBLE TOOTH

八重歯とは?

WHAT IS DOUBLE TOOTH

八重歯とは犬歯(根っこが一番長い歯)が歯列の外にはみ出した状態です。犬歯は根っこが長く、噛み合わせにとって要の歯をなり、犬歯が食べ物をすり潰すなどの顎をずらしたときの衝撃を受け止める役割を果たしますが、そとにはみ出していることで他の歯に過剰な負担がかかることとなります。

八重歯の原因

CAUSE

八重歯は叢生の一種です。主な原因は3つあり、

  • 顎の成長が不十分なため、窮屈に歯が生えてくるため犬歯がはみ出る
  • 顎の大きさと歯の大きさがアンバランスになり、犬歯がはみ出る
  • 乳歯が抜けるのが遅く、永久歯が外側に向かって生えてくるため犬歯がはみ出る

このような原因によって八重歯になります。

八重歯に
適した治療法

TREATMENT

八重歯によって、歯の清掃性が悪くなります。(磨き残しが多くなる)
それによって、虫歯や歯周病の原因になってしまいます。また、噛み合わせが正常ではないため、前歯や奥歯への負担が過剰になることも懸念されます。

診断を行った上で、正しい噛み合わせと歯列を考えた治療を行います。
装置は患者様と十分に話し合った上で、決定していきます。

八重歯は抜歯が
必要ですか?

NECESSITY

叢生の場合と同じような判断になりますが、八重歯の度合いによっては抜歯・非抜歯であるかを慎重に決定していきます。
叢生でも触れましたが、抜歯をしても前歯の位置を設定できますので、ほうれい線が目立つなどの心配は無用になります。

CASE

八重歯の症例

八重歯を矯正で改善した症例

患者情報
10代 女性
主訴
でこぼこ
診断名
叢生
治療方法
マルチブラケット装置、上下小臼歯抜歯
治療期間
14か月
治療のリスク
歯ブラシが大変になる
費用
検査4万
装置80万
再診料5000×14回
抜歯5000円×4本、保定装置15000×2個

治療費一覧はこちら

※ クリックすると拡大することができます。

MESSAGE

八重歯が気になる方へ

一昔前までは、八重歯がチャームポイントとして捉えられていましたが、昨今は虫歯や歯周病の原因になっていたり、メディアに出演されている方もキレイな歯列になっているなど、時代の変化を感じます。

八重歯に関する治療法や費用に関して、しっかりとご相談に乗り、安心して治療を受けていただけるように配慮いたしますので、お気軽にご相談下さい。

ガイドライン

歯並びのお悩みをご相談ください

当院では、1日3組の方限定で、
矯正治療の無料相談を行っています。
お気軽にご利用ください。

矯正歯科のお悩みをご相談ください。 矯正歯科のお悩みをご相談ください。
相談してみる

相談は無料です。